口腔外科医と矯正専門医による専門的治療
負担の少ない小児矯正

「歯列矯正は、何年も口の中に装置を入れる」
そんなふうに思われがちですが、お子さまの場合、咬合誘導という方法を使って装置なしの矯正が可能な場合があります。正しい位置にはえようとする「本来、歯がもっている能力」を利用し、適切な時期に乳歯から永久歯に生えかわるよう誘導します。
そうすることで治療期間は極端に短くなり、それにより治療費も安くなります。
ただしこれは、「歯の生えかわる時期」にしかできない治療です。
また治療費は分割払いが可能ですので、その一部を用意していただければ、すぐに治療開始できます。
もちろん通常の小児矯正もおこないます。その場合も、歯の持つ力を活かした矯正治療を心がけています。
詳しくは、下記のページにも記載してありますのでご確認ください。
大人の矯正治療

当院では、矯正医と口腔外科医が共同でかみ合わせを管理し、適切な矯正治療をおこなっています。
矯正装置を使うと同時に、睡眠の質が悪くなる顎関節の動きや噛み締めぐせなど、いろいろ積み重なって歯に悪影響を与えている原因をひとつひとつ取りのぞきます。
そういったかみ合わせの誘導をおこなうことで、矯正費用も期間も減少します。
当院の矯正治療は矯正専門医がおこないますが、口腔外科医が随時診察することで、歯周病やあごの関節に負担がかかりにくいような歯列矯正をおこないます。
たとえ見た目がよくても、機能的に問題があるような方法はおこないません。
アンカースクリューによる矯正
当院では基本的な歯科矯正の方法を網羅していますが、アンカースクリューを骨に埋め込む矯正法もおすすめしています。
アンカースクリューには、
- 見た目がきれい
- 装置が小さく目立たない
- 装着期間が短くすむ
といったメリットがあります。
ただし、人によっては、適切にケアをしないと炎症が起こる可能性があります。
また外科手術による骨格矯正も、病院と連携しておこなっております。
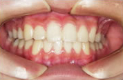
矯正治療 症例

- 治療前

- 治療後

- 治療前

- 治療後

- 治療前

- 治療後

- 治療前

- 治療前
マウスピース型矯正装置のメリット・デメリット
- 目立ちにくい
- 歯並びの状態によって装着できない場合もあります。
矯正治療の費用(税込)
ご予約いただければ丁寧に説明いたします。
検査からは費用が発生しますが、分割によるお支払いもOKです。
また1回ごとの処置費用も無料です。
| ブラケット(部分矯正) | 110,000円~550,000円 |
|---|---|
| ブラケット(全体矯正) | 650,000円~1,100,000 |
| マウスピース型矯正装置 (インビザライン) | 880,000円 |
| プレオルソ | 16,500円〜55,000円 |
※完成物薬機法対象外(薬機法未承認)の矯正歯科装置(医薬品)であり、 承認医薬品を対象とする医薬品副作用被害救済制度の対象外となる場合があります。










